視神経周囲炎(OPN)
発症速度:数週間単位で緩徐に進行
中心視力:比較的保たれやすい
RAPD:頻度低い/軽微
MRI増強部位:視神経鞘周囲(神経鞘が増強)
ステロイド反応:迅速・劇的だが依存性あり
MS関連:なし

視神経周囲炎(Optic Perineuritis; OPN)は、視神経の髄膜(鞘)に炎症が限局する眼窩炎症性疾患の一種である。1883年にEdmunds & Lawfordが病理標本で視神経周囲の炎症浸潤を初めて報告した。
OPNには概念的に二つの捉え方がある。古典的な概念では、梅毒・サルコイドーシスによる髄膜炎を起因とする両側性の乳頭浮腫を指す。新しい概念では、視神経髄鞘に限局した炎症でMRIにリング状高信号を呈し、Mariotte盲点拡大以外の視機能低下がないものを指す。
分類は以下の通りである。
発症平均年齢は40〜60歳(報告範囲15〜85歳)で、女性にやや多い傾向があるが確定的な性差は未確立である。
視神経炎(ON)は視神経自体(軸索・髄鞘)に炎症が生じる疾患で、脱髄性が多くMS関連がある。視神経周囲炎(OPN)は視神経を包む鞘(髄膜)に炎症が限局し、MRIでは神経鞘周囲の増強効果を示す。OPNでは中心視力が保たれやすくRAPDの頻度が低い点や、ステロイドへの反応が迅速で減量時に再燃しやすい点が特徴的で、ONとは臨床的にも鑑別が重要である。

OPNの大多数は特発性である。二次性OPNでは以下のような原疾患が同定される。
特発性OPNとされた場合でも、基礎疾患が潜在している可能性があるため全身評価が推奨される。梅毒血清反応・ACE(サルコイドーシス除外)・ANCA・IgG4・MOG抗体・AQP4抗体・ESR・CRP・胸部X線が主な検査項目となる。基礎疾患が見つかれば原疾患の治療が再発予防にもつながる。
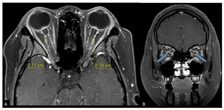
MRIが診断の要である。ガドリニウム造影・脂肪抑制T1強調画像で以下の所見を確認する。
ONとの鑑別においては、ONでは視神経自体が増強するのに対し、OPNでは視神経鞘周囲が増強する点が重要である。ただし、tram-track signはOPN特異的ではなく、視神経鞘髄膜腫・サルコイドーシス・白血病でも出現しうる。CTは軟部組織解像度が劣るため診断には不十分である。
OPNとONの主な鑑別点を以下に示す。
視神経周囲炎(OPN)
発症速度:数週間単位で緩徐に進行
中心視力:比較的保たれやすい
RAPD:頻度低い/軽微
MRI増強部位:視神経鞘周囲(神経鞘が増強)
ステロイド反応:迅速・劇的だが依存性あり
MS関連:なし
典型的視神経炎(ON)
発症速度:数日単位で急速に進行
中心視力:低下しやすい
RAPD:高頻度に陽性
MRI増強部位:視神経自体(軸索・髄鞘が増強)
ステロイド反応:回復促進だが自然寛解あり
MS関連:あり(特発性ONの50%が15年以内にMS移行)
治療の基本方針は原疾患の治療と経過観察である。原疾患の治療が奏効すれば、通常視機能低下は生じない。
高用量ステロイドが第一選択である。治療開始後数時間〜1日以内に症状が緩和するONより迅速な反応が特徴的である。
用量と再発率の関係は重要な臨床的事項である。
| 経口プレドニゾロン用量 | 再発率 |
|---|---|
| 低用量(30〜40mg/日) | 高用量群より再発率が高い |
| 高用量(60〜80mg/日) | 低用量群より再発率が低い |
定期的に視力・視野・色覚・瞳孔・眼底を評価する。症状が持続しなければ画像再検査は通常不要だが、再燃モニタリングが重要である。
OPNではステロイド減量時の再燃が多く、急激な中止は避けるべきである。経口プレドニゾロンでは低用量(30〜40mg/日)群が高用量(60〜80mg/日)群より再発率が高いことが知られており、緩徐な漸減が推奨される。自然寛解例も文献上報告されているが、それは視機能が保持されかつ疼痛が軽度の選択された症例に限る。
視機能が保持されており眼痛が軽度な症例では、経過観察で自然寛解に至った報告がある。文献上6例以上の自然寛解例が確認されており、クローン病合併例でも2週間での疼痛消失・3か月での完全寛解が報告されている。8)ただし視力低下が進行している場合や基礎疾患が疑われる場合は積極的治療が必要であり、自己判断で経過観察を選択することは危険である。
OPNの本態は視神経周囲髄膜における免疫介在性炎症である。
MOGAD関連OPNではMOG-IgG抗体による体液性機序が中心である。表面ミエリンへの自己抗体結合が補体活性化・細胞傷害を引き起こす。COVID-19後MOGADではサイトカインストームによる血液脳関門(BBB)の破綻が低力価抗体(1:20)のCNS侵入を可能にすると考えられている。IL-1β・IL-6・TNF・IFN-1の放出と脳微小血管内皮細胞のアポトーシスが病態に関与する。1)
TB-IRIS関連OPNでは抗結核治療による免疫再構築の過程で、結核菌(MTB)に対するTh1優位の過剰免疫応答が視神経周囲に炎症を惹起する。7)
IBD関連OPNでは全身性炎症性サイトカインの上方制御と抗原交差反応性が関与するとされる。8)
免疫チェックポイント阻害薬関連OPNではPD-1阻害による免疫チェックポイントの解除が免疫関連有害事象(irAE)として視神経周囲炎症を惹起する。4)
MOGADがOPNの重要な原因として認識されつつある。サルコイドーシスと並ぶ主要鑑別疾患として位置づけられる。
Leitãoら(2023)はCOVID-19重症感染後に両側性MOGAD-OPNを発症した56歳男性を報告した。MOG-IgG 1:20(低力価)陽性、ESR 42mm/h・CRP 8.2mg/dLと炎症反応上昇を認めた。メチルプレドニゾロン1,000mg×3日のステロイドパルス療法で視野が改善し、6か月後にはMOG抗体が陰性化した。1)
irAEとしてのOPN症例が報告されており、ステロイド治療抵抗性を示す可能性が示唆されている。
Takadaら(2021)は非小細胞肺癌に対するニボルマブ治療7サイクル目後に右眼視力低下(20/2000)を呈した54歳男性を報告した。MRIでtram-track sign・doughnut signを確認しOPNと診断した。ステロイドパルス療法を2回施行したが視野改善は乏しかった。irAEとしてのOPN初報告例である。4)
血管内治療後の新たな合併症としてOPNが報告されている。
Tanakaら(2022)は内頸動脈傍眼動脈瘤に対するフローダイバーター留置後にOPNを発症した2症例(49歳・57歳女性)を報告した。術後に視野障害が出現し、MRI STIR冠状断でdoughnut signを確認した。ステロイドパルス療法で改善を得た。術前STIR冠状断評価の重要性が強調された。6)
従来「全例治療必須」とされてきたOPNだが、一部の症例では経過観察も選択肢となりうる。
Pickelら(2022)はクローン病合併の28歳女性における右眼視神経周囲炎の自然寛解例を報告した。視力 20/20を保持した状態で無治療経過観察を選択し、2週間で疼痛消失・3か月で完全寛解を達成した。文献レビューで6例の自然寛解例が確認され、視機能保持かつ軽度疼痛例では経過観察が選択肢になり得ると結論された。8)
難治性OPNに対する静脈内トシリズマブ投与の有効性が報告されている(文献言及のみ)。8)
Leitão M, Davila Siliezar P, Laylani N, Lee AG. Myelin oligodendrocyte glycoprotein antibody disorder (MOGAD) optic perineuritis following severe COVID-19 infection. Am J Ophthalmol Case Rep. 2023;32:101952.
Ismail MA, Shariffudin NS, Bt Abd Jalil NF, Yew TC, Wan Hitam WH. Concurrent tuberculous optic neuritis and optic perineuritis in a patient with human immunodeficiency virus (HIV). Cureus. 2024;16(3):e55867.
Khan RR, Mahmood A, Kahlon S, Benyahia SA. Optic perineuritis secondary to CNS involvement of lymphoma. Cureus. 2024;16(12):e75818.
Takada K, Fujiwara K, Ando E, et al. Optic perineuritis associated with nivolumab treatment for non-small cell lung cancer. Case Rep Oncol. 2021;14:792-796.
Droger SM, Hensen JH, van Rooij LC. Optic perineuritis in polyarthritis nodosa. BMJ Case Rep. 2021;14:e237988.
Tanaka Y, Nagatsuka H, Miki Y, et al. Two patients of visual disturbance and optic perineuritis after placement of a flow diverter. Radiol Case Rep. 2022;17:1487-1490.
Fatimah-Halwani I, Wahab Z, Masnon NA, et al. Bilateral optic perineuritis in tuberculosis-immune reconstitution inflammatory syndrome. Cureus. 2022;14(8):e27600.
Pickel L, Micieli JA. Spontaneous resolution of optic perineuritis in a patient with Crohn’s disease. Case Rep Ophthalmol. 2022;13:470-475.