この疾患の要点
視神経鞘髄膜腫(ONSM)は視神経 鞘の蜘蛛膜顆粒由来の良性腫瘍で、数年単位で緩徐に進行する無痛性の片眼性視力 低下をきたす。
全髄膜腫の約1〜2%、全眼窩腫瘍 の約10%を占め、40〜50代の女性に多い(女性:男性=3:1)。
MRIのtram-track sign(電車軌道状サイン)が特徴的な画像所見であり、典型例では生検は不要かつ禁忌に近い。
視神経乳頭萎縮・乳頭毛様短絡血管(RCVC)・無痛性視力低下の古典的三徴(Hoyt-Spencer徴候)が知られるが、三徴が揃う症例は少数である。
介入が必要な場合の第一選択は放射線治療(IMRTや定位放射線治療)であり、視力・視野の安定または改善が期待できる。
有用な視力が残存する場合の外科的切除は視力悪化のリスクが高く、一般的に非推奨である。
小児例ではNF 2との合併が最大35%にのぼり、頭蓋内進展リスクが高いため成人例と異なる対応が必要である。
視神経鞘髄膜腫(Optic Nerve Sheath Meningioma; ONSM)は、視神経鞘の蜘蛛膜顆粒に由来する髄膜中皮細胞から発生する良性腫瘍である。眼窩 内または視神経管内の髄膜鞘が存在する部位に発生し、視神経を同心円状に取り囲むように増大する。頭蓋内髄膜腫が前方に進展して視神経管に達する「続発性」と、視神経鞘から原発する「原発性」を区別することが重要である。
疫学 :全髄膜腫の約1〜2%、全眼窩腫瘍の約10%、原発性視神経腫瘍の約33%を占める。40〜50代の成人女性に好発し(30歳代と60歳代にもピーク)、女性:男性=3:1の比率を示す。小児では全症例の4%未満と稀であるが、小児例のうち最大35%がNF2(神経線維腫症2型)を合併する。4)
Q 視神経鞘髄膜腫は悪性ですか?
A 組織学的には大部分が良性(WHO Grade 1)であるが、約20%が悪性所見を示すとの報告がある。まれに悪性・浸潤性の特徴を示し再発率が高くなることもある。小児例では成人より悪性化の可能性が高く、頭蓋内進展リスクも高い。
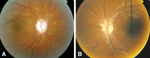
optic nerve sheath meningioma disc pallor
Bilateral Optic Nerve Sheath Meningioma with Intracanalicular and Intracranial Component in a 25-year-old Saudi Patient. Middle East Afr J Ophthalmol. 2008 Jul-Dec; 15(3):138-141. Figure 1. PMCID: PMC3040919. License: CC BY.
(A) Right eye shows pale disc with retinochoroidal collateral; (B) Left eye shows very mild temporal pallor.
緩徐な視力低下 :最も多い症状は無痛性の片眼性視力低下である。数年単位の慢性的経過が多く、初診時視力は20/20からNLPまで幅広い(Duttonレビューでは24%がCF 以下、45%が20/40以上と報告)。
視野障害 :斑状の感度低下や求心性視野障害を示す。視力は軽度障害が多いが、中心暗点 がある場合は高度障害となりうる。
霧視 ・亜急性視機能悪化 :経過中に霧視や視野・視力障害の亜急性悪化を認めることがある。
眼球突出 :軽度の眼球突出を示すことがある。
眼球運動障害 :軽度の運動制限を伴う場合がある。
**古典的三徴(Hoyt-Spencer徴候)**として以下の3つが知られる。ただし、三徴が全て揃う症例は少数である。
無痛性・緩徐進行性の視力障害
視神経萎縮 (乳頭蒼白)
乳頭毛様短絡血管(RCVC: retinochoroidal venous collateral)
その他の所見を以下に示す。
RCVC(乳頭毛様短絡血管) :報告によりばらつきがあるが、おおむね20〜60%の症例で認められる。真のシャントではなく、中心静脈の慢性閉塞に対する側副血管形成である(網膜 循環から脈絡膜 循環への血流)。乳頭縁を通過し、太い径を示し、蛍光眼底造影 上で色素漏出はみられない。3)
RAPD 陽性 :相対的求心性瞳孔 異常が陽性となる。
色覚低下 :視神経への圧迫に伴い色覚低下を認める。
眼底所見の経時変化 :
初期:軽度〜局所的な視神経の充血と腫脹
進行期:乳頭周囲網膜の浮腫・網膜皺襞
慢性化:蒼白浮腫から視神経萎縮へ(不可逆的視力障害)
光干渉断層計 (OCT) :乳頭腫脹の評価や網膜神経節細胞 複合体(GCC)厚の菲薄化定量化に有用。進行例では著明な菲薄化を示す(報告例で網膜神経線維層 50μm/49μm、正常値100〜120μm;GCL <60μm、正常値>80μm)。4)
Q 乳頭周囲に見える異常な血管は何ですか?
A 乳頭毛様短絡血管(RCVC)と呼ばれる側副血管で、腫瘍による中心静脈の慢性圧迫に対する代償性血管形成である。真のシャントではなく、ONSMに特異的でもない(CRVO ・慢性うっ血乳頭等でも生じる)。古典的三徴の一つとして知られ、ONSMの約20〜60%に認められる。
多くは特発性であり明確な原因は不明である。以下のリスク因子・関連疾患が知られている。
電離放射線への曝露 :髄膜腫全般との関連が指摘されている。
NF2(神経線維腫症2型) :最も一般的な遺伝学的異常は第22染色体長腕欠失(NF2遺伝子領域を含む)。NF2患者のONSM合併率は約6.8%と報告されており、小児ONSM患者の最大35%がNF2を合併する。4)
小児例の特殊性 :成人より悪性化の可能性が高く、頭蓋内進展率が高い。放射線治療後の合併症発生率も高い。
肥満・ホルモン補充療法・乳癌・アルコールなどは一般的な髄膜腫のリスク因子として報告されているが、ONSMに特異的なリスクとしての証拠は限られる。
MRI(第一選択) :ガドリニウム造影+脂肪抑制を用いた頭部・眼窩MRIが最も有用である。脂肪抑制T1造影画像が特に重要とされる。
tram-track sign(電車軌道状サイン) :軸位断において、低信号の視神経の両側に高信号の腫瘍が2本の線状陰影として描出される。
doughnut sign :冠状断において、中心の視神経を腫瘍が環状に取り囲む所見。5)
T1強調像:外眼筋 よりやや低信号。
T2強調像:脂肪とほぼ同程度、硝子体 より低信号(視神経膠腫との鑑別点)。
造影後:均一かつ強い増強効果。
頭蓋内進展の評価にも不可欠である。
CT :
びまん性管状病変+造影効果。石灰化の検出にはCTの方が優れる。
形態は管状・紡錘状・球状の3パターンがある。
tram-track signはCTでも確認可能。
視神経管に病変が及ぶ場合は視神経管拡大を認める。
OCT :乳頭腫脹と網膜神経節細胞複合体厚の評価に用いる。
以下との鑑別が重要である。
疾患 画像・検査上のポイント 視神経膠腫 T2高信号、造影効果は軽度〜さまざま 孤立性線維性腫瘍(SFT) STAT6+/CD34+(免疫組織化学)5) 転移性疾患・白血病浸潤 全身検索・骨髄・血液所見
その他、神経サルコイドーシス ・結核・梅毒・視神経周囲炎 ・MOG抗体 関連疾患も鑑別に挙げる。
生検の原則 :典型的な画像所見がある場合、生検は不要である。手術による生検だけでも視力予後は非常に不良となるため、視力が残存する場合には実施しない。
Q 視神経鞘髄膜腫の診断に生検は必要ですか?
A 典型的なMRI所見(tram-track sign・doughnut sign)がある場合、生検は不要である。視神経とONSMは軟膜血流を共有しており、生検を含む手術的操作は視神経を損傷するリスクが高い。「生検だけでも視力予後は非常に不良」とされており、有用な視力が残る場合は手術的介入を避けるべきである。
無症状または視機能低下が軽度・緩徐な場合は、定期的な画像検査と視機能評価(視力・視野・OCT)による慎重な経過観察が選択される。初診時視力不良以外に明確な予後予測因子はなく、観察期間中の視力変化にはばらつきが大きい。
視機能低下が進行する場合や頭蓋内進入が認められる場合に放射線治療の適応となる。視神経萎縮が高度な末期でなければ、視力・視野の安定または改善が期待できる。
主な放射線治療モダリティ
IMRT
強度変調放射線治療 :81%で視力安定または改善と報告される。
線量 :50.4 Gy/28回が標準的。2) 4)
fSRT
分割定位放射線治療 :83.3〜100%で視野安定または改善と報告される。
視神経への線量集中性が高い。
SRT・GKRS
定位放射線治療・ガンマナイフ :68か月時点のMRI腫瘍制御率100%と報告される。
単回照射の場合15 Gy(50%等線量)が用いられた例がある。1)
陽子線治療 :散乱線量が低く晩期毒性軽減の可能性がある。下垂体近接病変に有益とされ、小児例では二次発癌リスク軽減の観点からも考慮される。ONSMに対する研究は限定的である。小児例では50.4 CGE/28回で施行された報告がある。4)
有用な視力が残っている場合、外科的切除は一般的に非推奨である。視神経とONSMは軟膜血流を共有しており、切除により視力が悪化するリスクが高い。
外科的治療が考慮される適応 :
失明眼で重度眼球突出・外見変形がある場合
頭蓋内進展の恐れがある場合
対側視神経への波及リスクがある場合
視神経管減圧・視神経鞘開窓が放射線治療前に局所圧軽減目的で施行される場合がある(特に小児例)。4)
治療における注意点・副作用
放射線治療の合併症として、放射線網膜症 ・放射線視神経症 (RION)・虹彩炎 ・白内障 ・ドライアイ ・下垂体機能低下症がある。早期副作用として一時的な紅斑・脱毛・頭痛が生じることがある。先行照射歴がある症例への再照射ではRIONリスクが10倍に上昇するとの報告がある(Milano et al., 34研究1,578例)。1) また再照射後に眼球神経筋緊張症(ocular neuromyotonia)の発生が報告されており、カルバマゼピンによるコントロールが有効とされる。2)
Q 放射線治療後どのくらい視力が改善しますか?
A 治療モダリティにより異なるが、分割定位放射線治療(fSRT)では83.3〜100%、IMRTでは81%の症例で視野または視力の安定・改善が報告されている。ただし治療前の視力が良好な症例ほど予後が良く、視神経萎縮が高度な末期では改善は期待しにくい。
腫瘍は肉眼的に境界明瞭な円形塊状を呈し、視神経組織に浸潤せず同心円状に取り囲むように増大する。長軸方向に沿って広がり、頭蓋内に進入すると対側視路への波及リスクが生じる。
組織型 は複数あり、主なものを以下に示す。
髄膜上皮腫型(meningothelial) :基本型。渦紋配列(whorl formation)が特徴。
その他:線維芽細胞型(fibroblastic)、移行型(transitional)、砂粒体型(psammomatous)、分泌型(secretory)など。砂粒小体(psammoma body)が多数形成される亜型(砂粒体型)もある。
約20%が悪性所見を示すとの報告があるが、組織型自体は予後との相関が薄い。
免疫組織化学 :EMA陽性・PR陽性・SSTR2A陽性。Ki-67はGrade 1では低値(2〜3%)。孤立性線維性腫瘍(SFT)との鑑別にはSTAT6・CD34の陰性所見が重要である。5)
WHO分類 :Grade 1(良性、全髄膜腫の>80%)、Grade 2(異型性、4〜19 mitoses/10 HPF+脳浸潤)、Grade 3(悪性、>20 mitoses/10 HPF)。
RCVC(乳頭毛様短絡血管)の形成 :球後の腫瘍が網膜中心静脈を慢性圧迫することで、網膜循環と脈絡膜循環間の側副血管(シャント)が形成される。
乳頭周囲脈絡膜新生血管 (PPCNV)の形成機序(まれな合併症) :解剖学的dehiscenceと循環障害(虚血・栄養障害)による血管新生促進、および区画化されたperioptic SAS内でのVEGF蓄積(髄膜腫は高度血管性腫瘍でVEGF発現が亢進)が仮説として提唱されている。3)
perioptic SAS(くも膜下腔)拡張 :腫瘍後方の脳脊髄液貯留によりSASが区画化され、乳頭浮腫 の一因となる。3)
Ga-68 PET/CT(ソマトスタチン受容体リガンドPET) :ソマトスタチン受容体を利用した機能画像で、MRIと比較して感度・選択性が約10%高いとされ、腫瘍増殖速度の予測にも有用と報告される。典型的症例では不要だが、非典型例や腫瘍活動性の評価に有用な可能性がある。
Vakharia et al.(2021)は、初回IMRT(50.4 Gy/28回)後7年目に腫瘍再増大・視力手動弁弁まで低下した54歳女性に対し、サルベージガンマナイフ放射線手術(GKRS)15 Gy(50%等線量)を施行した。6か月後に視力20/20-1まで劇的回復を示した1例を報告した。OCTでは網膜神経線維層の菲薄化は持続し(99μm→85μm)、先行照射歴のある症例ではRIONリスクが10倍に上昇するとされる(Milano et al., 34研究・1,578例)。外向性(exophytic)成長パターンの腫瘍ではGKRSの急峻な線量低下が有利と考察されている。1)
Sharieff et al.(2021)は、初回照射(4,005 cGy/15回)から27年後の再発例に対し、再照射(4,000 cGy/16回、IMRT)を施行した。再照射後に視力20/15・視野71%回復を達成した。副作用はドライアイ・一過性色覚障害・ocular neuromyotonia(カルバマゼピンで管理)であった。文献上ONSM再照射の初報告例とされる。2)
内視鏡下経鼻アプローチ :選択された外向性腫瘍に対して、視覚症状消失と全摘出を達成した症例報告がある。手技の適応拡大に関する研究が進行中である。
Mifepristone(抗プロゲステロン薬) :髄膜腫はPR陽性を示すことが多く、まれな難治例での使用が検討されている。標準治療ではなく、その効果は確立されていない。4)
Vakharia K, Hasegawa H, Stafford SL, Link MJ. Salvage Radiosurgery for Optic Nerve Sheath Meningioma. Cureus. 2021;13(7):e16450.
Sharieff JA, Melson A, Algan O. Treatment of Recurrent Optic Nerve Sheath Meningioma With a Secondary Course of Radiotherapy. Cureus. 2021;13(9):e17935.
Liao WP, Cheng CK, Peng PH. Peripapillary choroidal neovascularization associated with optic nerve sheath meningioma. Taiwan J Ophthalmol. 2022;12:360-363.
Wang DX, Walker CS, Ahmedin YA, et al. A Cavernous Sinus Meningioma in a Child with Progressive Bilateral Visual Loss Ultimately Attributed to Unsuspected Optic Nerve Sheath Meningiomas. Case Rep Ophthalmol. 2026;17:57-63.
Williams M, Ahmad T, Chin LS, et al. Clinical, Pathologic, and Radiologic Features of Orbital Solitary Fibrous Tumors and Meningiomas. Cureus. 2021;13(11):e19678.
記事の全文をコピーして、お好みのAIに貼り付けて質問できます
下のAIを開いて、チャット欄に貼り付け(ペースト) してください