ステージ1
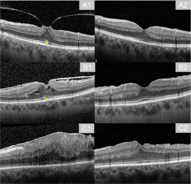
コットンボールサイン:EZ(楕円体帯)とIZ(内節/外節接合部)の間に出現する小さな境界不明瞭な高反射域。
EZ・ELMは保たれる:このステージでは外境界膜(ELM)と楕円体帯の連続性は維持されていることが多い。
視力:比較的良好に保たれる。

中心窩ブーケ異常(central bouquet abnormalities; CB異常)は、独立した疾患名ではない。硝子体網膜界面疾患や嚢胞状黄斑浮腫(CME)に伴いOCTで観察される、中心窩微細構造変化の分類体系である。
**中心窩ブーケ(central bouquet; CB)**とは、中心窩中央部の直径約100μmの円形領域を指す。この部位は錐体視細胞とMüller細胞から構成されており、視力を担う最重要構造の一つである。「ブーケ(花束)」の名称はRochon Duvigneaudが最初に中心窩の錐体配列を記載したことに由来し、Gassが「Müller細胞錐(Müller cell cone)」の概念を提唱した。Govetoらがその後、牽引性疾患におけるCB異常を体系的に研究した。
CB異常は以下の3ステージからなる進行性スペクトラムとして定義される。
中心窩ブーケ異常は独立した病気ではない。OCTで観察される中心窩微細構造変化の分類体系であり、黄斑前膜・硝子体黄斑牽引・嚢胞状黄斑浮腫などの基礎疾患に伴って出現する。基礎疾患の診断と管理が本質的な対応となる。
CB異常固有の自覚症状はない。基礎疾患(黄斑前膜・硝子体黄斑牽引・嚢胞状黄斑浮腫など)に起因する症状が前景に立つ。
CB異常の診断はOCTに基づく。各ステージの所見を以下に示す。
ステージ1
コットンボールサイン:EZ(楕円体帯)とIZ(内節/外節接合部)の間に出現する小さな境界不明瞭な高反射域。
EZ・ELMは保たれる:このステージでは外境界膜(ELM)と楕円体帯の連続性は維持されていることが多い。
視力:比較的良好に保たれる。
ステージ2
中心窩剥離:IZ直下に低反射ポケットとして観察される網膜下液。錐体とRPEの剥離を示す。
EZ断裂の可能性:このステージではEZの部分的断裂が生じることがある。
視力:中等度の低下を認める。
ステージ3
後天性卵黄状病変:EZとRPEの間に形成されるドーム状の厚い高反射物質。代謝産物の錐体下への蓄積を示す。
ELM断裂:このステージではELMの断裂が生じる。
視力:不良となることが多い。
各ステージのOCT所見を以下にまとめる。
| ステージ | OCT所見 | 視力への影響 |
|---|---|---|
| 1: コットンボール | EZ-IZ間の高反射域 | 比較的良好 |
| 2: 中心窩剥離 | IZ下の低反射ポケット | 中等度低下 |
| 3: 卵黄状病変 | EZ-RPE間ドーム状高反射 | 不良 |
黄斑前膜(ERM)が基礎疾患の場合、内境界膜(ILM)上の高反射線として黄斑前膜が確認される。黄斑前膜の病期分類のステージ3〜4では、眼内網膜前層(EIFL)の形成に伴いCB異常の出現率が低下するとの報告もある。
CB異常の原因は牽引性と非牽引性に大別される。
黄斑前膜と**硝子体黄斑牽引(VMT)**が代表的な原因である。
黄斑前膜は網膜内境界膜上に形成される線維性増殖膜であり、加齢が主要なリスク因子である1)。黄斑前膜による牽引力がMüller細胞を介して中心窩錐体に伝達され、CB異常を引き起こす。
VMTでは、後部硝子体剥離(PVD)が不完全なまま硝子体が黄斑部に癒着している状態が持続する。局所型VMT(癒着幅約500μm)では中心窩の隆起と嚢胞形成が生じ、広範型VMT(癒着幅約1500μm)では黄斑剥離に至ることがある1)。中心窩周囲のPVDはMüller細胞錐と光受容体の解離をもたらし、網膜内嚢胞を形成する2)。
**嚢胞状黄斑浮腫(CME)**が代表的である。糖尿病網膜症・網膜静脈閉塞症・ぶどう膜炎・術後嚢胞様黄斑浮腫などに続発する。液体貯留によるMüller細胞への物理的伸展がCB異常の機序と考えられる。
原因分類を以下に示す。
| 分類 | 原因疾患 | 機序 |
|---|---|---|
| 牽引性 | 黄斑前膜・VMT | Müller細胞介在牽引 |
| 非牽引性 | CME | Müller細胞伸展 |

CB異常の診断はOCTのみで完結する。特異的な検査手技や採血は不要である。
光干渉断層計(OCT)によりCBの微細構造変化をステージ分類できる。各ステージの所見(「臨床所見」の項参照)を把握したうえで、基礎疾患の評価と合わせて判断する。
CB異常の各ステージ、特にステージ3(後天性卵黄状病変)は以下の疾患との鑑別が必要である。
Krill病
急性RPE炎(Krill病):黄白色の小病変が中心窩周囲に多発する自己限定性疾患。通常6〜12週で自然軽快する。
鑑別点:自然軽快経過と、基礎疾患(黄斑前膜やVMT)を欠くことが鑑別の鍵となる。
中心性漿液性脈絡網膜症
中心性漿液性脈絡網膜症(CSC):漿液性網膜色素上皮剥離(PED)を伴う漿液性網膜剥離が特徴。
鑑別点:OCTで色素上皮剥離の形態、蛍光眼底造影での漏出点の確認が鑑別に有用。
卵黄状黄斑ジストロフィ
Best病(卵黄状黄斑ジストロフィ):遺伝性疾患。RPE下の卵黄状物質沈着が特徴的。
鑑別点:若年発症、家族歴、EOG異常(Arden比低下)、遺伝子検査が鑑別に寄与する。
その他の鑑別対象として、太陽網膜症(日光暴露歴)および急性特発性黄斑症がある。
診断はOCTのみで行える。特別な採血・染色・造影検査は必須ではない。OCTで中心窩の微細構造(EZ・IZ・ELM・RPE間の変化)をステージ分類し、基礎疾患(黄斑前膜・VMT・嚢胞様黄斑浮腫など)の有無を評価することで診断する。
CB異常自体を直接標的とする治療法は存在しない。基礎疾患の管理が治療の原則となる。
原因疾患に応じた治療を行う。
黄斑前膜の大部分は安定した経過をたどり、進行するものは少ない1)。5年間の自然経過として、29%が進行、26%が軽快、39%が安定するとの報告がある1)。
視力低下や変視症が顕著な場合、または進行性の黄斑前膜には**硝子体手術(黄斑前膜剥離術)**が選択肢となる。
VMTに対しては経過観察または**硝子体手術(PPV)**を検討する。症状が軽微な場合は観察を優先し、牽引が強く視力低下が進行する場合に手術を検討する。
コットンボールサイン単独では必ずしも手術を要しない。Govetoらの観察では安定している例が多い。基礎疾患に対する牽引が解除されると消退する場合がある。視力・変視症・基礎疾患の進行度を総合して経過観察か治療介入かを判断する。
中心窩ブーケ(CB)は中心窩最深部の直径約100μmの領域に位置し、視力を担う錐体視細胞とその支持構造であるMüller細胞から構成される。Müller細胞は内境界膜(ILM)から外境界膜(ELM)にかけてスパンし、網膜の構造的完全性を維持している。中心窩中央ではMüller細胞がより垂直方向に配向していることが、GassとYamadaの研究により示されている。この解剖学的特性がCBを機械的ストレスに対して脆弱にしていると考えられる。
牽引力はMüller細胞を介して錐体視細胞に伝達される。各ステージの機序は以下の通りである。
ステージ1(コットンボールサイン):内側方向への牽引により錐体が上方に偏位する。EZおよびELMはこの時点では保たれている。
ステージ2(中心窩剥離):牽引が錐体-RPE間の接着力を超えることで錐体とRPEが剥離し、網膜下液が出現する。EZの断裂が生じることがある。
ステージ3(後天性卵黄状病変):剥離の持続により錐体の代謝産物がRPEと錐体の間に蓄積し、ドーム状の高反射物質を形成する。ELMの断裂が生じる。高反射物質は最終的に網膜内へ移行し、自然に虚脱することがあるが、EZおよびELMの断裂は持続することが多い。
嚢胞様黄斑浮腫では液体貯留によるMüller細胞の物理的伸展がCBへの機械的ストレスをもたらす。伸展が持続することで中心窩剥離(ステージ2)へと進行し得る。
ステージ1(コットンボールサイン):多くの場合、経過観察で安定している(Goveto)。基礎疾患に対する牽引が解除されると消退することがある。
ステージ2(中心窩剥離):基礎疾患の治療に応じて改善する可能性がある。
ステージ3(後天性卵黄状病変):高反射物質の網膜内への移行と自然虚脱が観察されることがある。しかし、虚脱後もEZおよびELMの断裂が持続することが多く、視力の回復は限定的となる傾向がある。
ERM手術後のCB異常および視力転帰については、報告者により見解が分かれる。
DamascenoらはタイムリーなERM手術により良好な視力回復が得られると報告した。一方、BrinkmannらはプレオペラティブなCB異常の存在が術後視力予後の不良因子であると報告しており、両者の見解は一致していない。
CB異常のステージが術前に高いほど、術後視力の回復が不良となる可能性があることが示唆されている。CB異常を早期発見し、適切なタイミングで基礎疾患を治療することの臨床的意義はここにある。
CB異常の概念はOCT技術の発展とともに生まれた比較的新しい分類であり、以下の点について今後の研究が期待される。
ステージ3(後天性卵黄状病変)では、高反射物質が虚脱しても、EZとELMの断裂が持続することが多い。視力回復は限定的となる傾向があり、手術成績についても研究者間で見解が分かれている。早期の段階で基礎疾患に対処することが、視力予後を改善するうえで重要と考えられる。